
Trayectoria
Odontólogo egresado de la Pontificia Universidad Javeriana, Ortodoncista egresado de la Universidad Militar Nueva Granada C.I.E.O., con 18 años de experiencia, desarrollando diversas actividades clínicas y académicas dentro del ejercicio de la odontología.
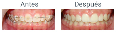
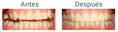
En el campo de la ortodoncia he llevado a cabo tratamientos exitosos utilizando diferentes técnicas, dentro de las que se destaca Flow Jac System.
Soy uno de los ortodoncistas pioneros en Colombia que ha aportado al desarrollo de la técnica Flow a partir de la experiencia clínica en múltiples pacientes con diferentes grados de complejidad, adicionalmente participo en capacitaciones como instructor de Flow Jac System.



